吉他之家

 找回密码
 立即注册
吉他之家 吉他歌手 查看内容

知名歌手在演唱会现场倒下,已确认去世!医生紧急提醒

2023-11-10 19:23:20| 发布者: @Xizi_nD5XbsXr| 查看: 389| 评论: 0

摘要: 据报道,日本传奇乐团BUCK-TICK的主唱歌手樱井敦司近日在演唱会,唱到一半突然身体不适,紧急送往医院抢救后宣告死亡。所属经纪公司10月24日发出声明,证实樱井敦司因脑干出血去世,享年57岁。樱井敦司,1966年3月7 ...

据报道,日本传奇乐团BUCK-TICK的主唱歌手樱井敦司近日在演唱会,唱到一半突然身体不适,紧急送往医院抢救后宣告死亡。所属经纪公司10月24日发出声明,证实樱井敦司因脑干出血去世,享年57岁。

樱井敦司,1966年3月7日出生于日本群马县藤冈市,是BUCK-TICK的主唱歌手。这支乐队在1985年创建,成员还包括吉他手今井寿、星野英彦,贝司手樋口豊和鼓手YAGAMIDORU,是日本的传奇乐团之一。


知名歌手在演唱会现场倒下,已确认去世!医生紧急提醒

樱井敦司

根据报道,樱井敦司是19日参加演唱会时遭遇不幸的,当时他唱到高音部分,突然觉得身体不舒服,后被送往医院急救,当晚宣告不治。尊重家属意愿,樱井敦司的丧礼不公开,仅邀请近亲。

经纪公司的声明中还表示,今年是樱井敦司所在乐队出道第35年,想不到樱井敦司忽然病逝,“这件事发生得太突然,我们依旧感到难以置信和困惑,成员和工作人员都用无法用语言表达深深的悲伤。”


知名歌手在演唱会现场倒下,已确认去世!医生紧急提醒

年轻时的樱井敦司

唱歌会导致脑出血吗?

警惕!此前已有多起类似案例

2020年6月

因为唱了一首飙高音的《青藏高原》

大连55岁的张女士差点丢了性命

张女士告诉记者,她喜欢唱歌,尤其擅长唱高音。她和朋友们一起聚餐唱歌时,第三首歌就选了《青藏高原》,没想到,唱到最高音时,她突然头疼欲裂,还伴有恶心、呕吐,被家人紧急送到了医院。

张女士首先在急诊做了一个脑CT,医生一看是蛛网膜下腔出血。检查发现,张女士蛛网膜下腔出血的原因是脑动脉瘤破裂。经过两个小时的紧张手术,破裂的动脉瘤被妥善处置,转危为安。


知名歌手在演唱会现场倒下,已确认去世!医生紧急提醒

医生表示,情绪激动、用力过猛,剧烈兴奋,悲伤可能会诱发动脉瘤的破裂。“动脉瘤一旦破裂,有三分之一的死亡率,如果没有及时治疗,二次破裂会有三分之二的死亡率,所以说它是一个非常危险的疾病。”

医生称,唱高音对脑部冲击大,建议张女士唱些舒缓的歌曲。同时,医生还提醒:


“我们还碰到过一例患者在蒸桑拿的时候,动脉瘤破了,高温和极寒的环境都可以诱发动脉瘤的破裂。

所以说,平时一定控制好血压、血糖还有血脂。

要保持情绪的平和稳定,另外,有这些病史的人不要采取剧烈的体育活动。”

一首《凉凉》女大学生脑出血险丧命

据大河网报道,河南一女大学生欢欢(化名)和朋友在KTV唱完一曲《凉凉》之后,感觉到恶心、呕吐、头晕头痛后,被送往医院。经检查后发现为脑出血,医生表示,若未及时送往医院救治,后果不堪设想。

2019年6月18日上午,在郑州大学第一附属医院郑东院区急诊抢救室,20岁的欢欢躺在病床上。虽然入院已经超过36小时,但医生称她还处于危险期,“必须密切观察”。


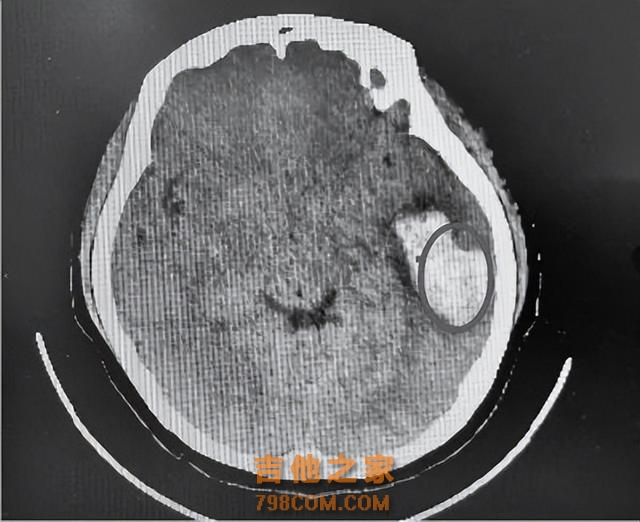
知名歌手在演唱会现场倒下,已确认去世!医生紧急提醒

患者的脑部检查结果,圆圈处为出血区域

“出血量比较大,有近30毫升。如果未及时就医,后果不堪设想。” 副主任医师刘奇说,欢欢虽然年纪比较小,症状表现比较轻,但也不能大意。

有神经内科专家表示:

人在情绪激动时

会出现肾上腺素大量分泌、

交感神经异常兴奋、

血管收缩等现象

从而让血压快速升高

对血管造成一定损害

“脑出血的发病一定是有基础病因存在,常见的基础病因为颅内动脉瘤、血管畸形和高血压。”其中患有高血压的中老年人血管弹性差,如常急躁易怒,也就更容易发生中风。对此专家提醒,有高血压、精神情绪紧张的病人,在从事剧烈活动时,要注意劳逸结合,避免发生意外。

此外,温州医科大学附属第一医院神经内科主任医师王贞表示,“近年来由于生活习惯的改变,现在脑出血也愈发年轻化,我就接诊了好几个30多岁的年轻人因为过劳导致突发脑出血。”

突发脑出血危险性极大,

主要以预防为主,

平时应该定期体检

做到早预防,早发现,早治疗。

来源:红星新闻综合齐鲁晚报、辽沈晚报、新闻晨报等


作者:红星新闻 想学吉他?想看更多精彩弹唱?想知道更多吉他弹奏技巧?赶快关注我们,进入《吉他之家》,这里的精彩无与伦比!


路过

吉他之家版权声明:本站图谱信息均来自互联网或网友自制 仅供参考与交流,版权归属原创作者所有。若侵权请告知!

最新评论

www.798com.com|联系我们|广告合作|吉他之音|吉他之家 ( 京ICP备12000409号-4 )

GMT+8, 2025-12-16 04:48

Powered by Discuz! X3.4 & 吉他之家

© 2017-2022 Comsenz Inc. & 吉他之家

返回顶部